Eliminació Segura d’Amalgama

Més del 80% de la població espanyola porta obturacions o empastes metàl·lics d’amalgama de plata, la composició de la qual és d’un 50% de mercuri -molt tòxic- i d’altres metalls com plata, coure i zinc que endureixen en pocs minuts i a temperatura ambient en ser barrejats.

Fins fa un temps, es pensava que el mercuri no es desprenia de l’amalgama una vegada endurida aquesta, però ara sabem que el mercuri s’allibera de forma gradual essent aquesta alliberació incrementada amb la ingesta de cítrics, àcids, bruxisme –apretar les dents-, etc.

La primera cosa en la ment del metge conscienciat amb aquest tema, és la  protecció del pacient contra l’exposició addicional al mercuri. Això és especialment cert en pacients amb intoxicació per mercuri, ja que aquest  podria haver estat  exposat a quantitats variables de mercuri en la dieta, en l’entorn, en el seu lloc de treball o les amalgames dentals de mercuri, ja que totes les formes són acumulatives i poden contribuir a la càrrega de mercuri al cos. L’objectiu d’aquest procediment és per minimitzar qualsevol exposició addicional del pacient o el nostre equip al mercuri i per això seguim un Protocol d’eliminació segura d’amalgama.

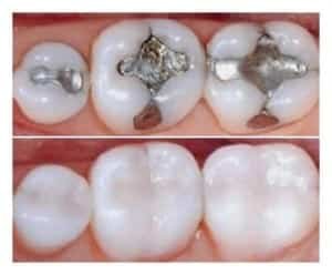
Posteriorment, substituïm l’amalgama per una obturació de resina composta o composite, amb unes qualitats estètiques i físiques òptimes per restaurar les peces dentals amb seguretat.

Per més informació podeu consultar aquest link: http://www.mercuriados.org/es/pag220